Impianti Dentali Angolati a Padova

Innovazione e Precisione: Gli Impianti Dentali Angolati a Padova

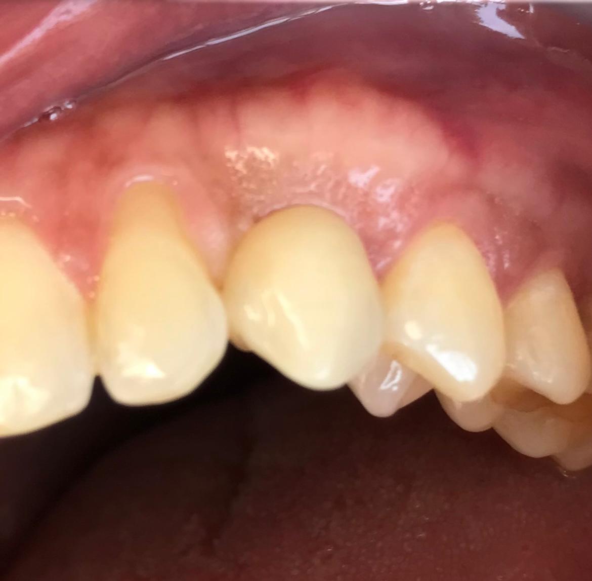
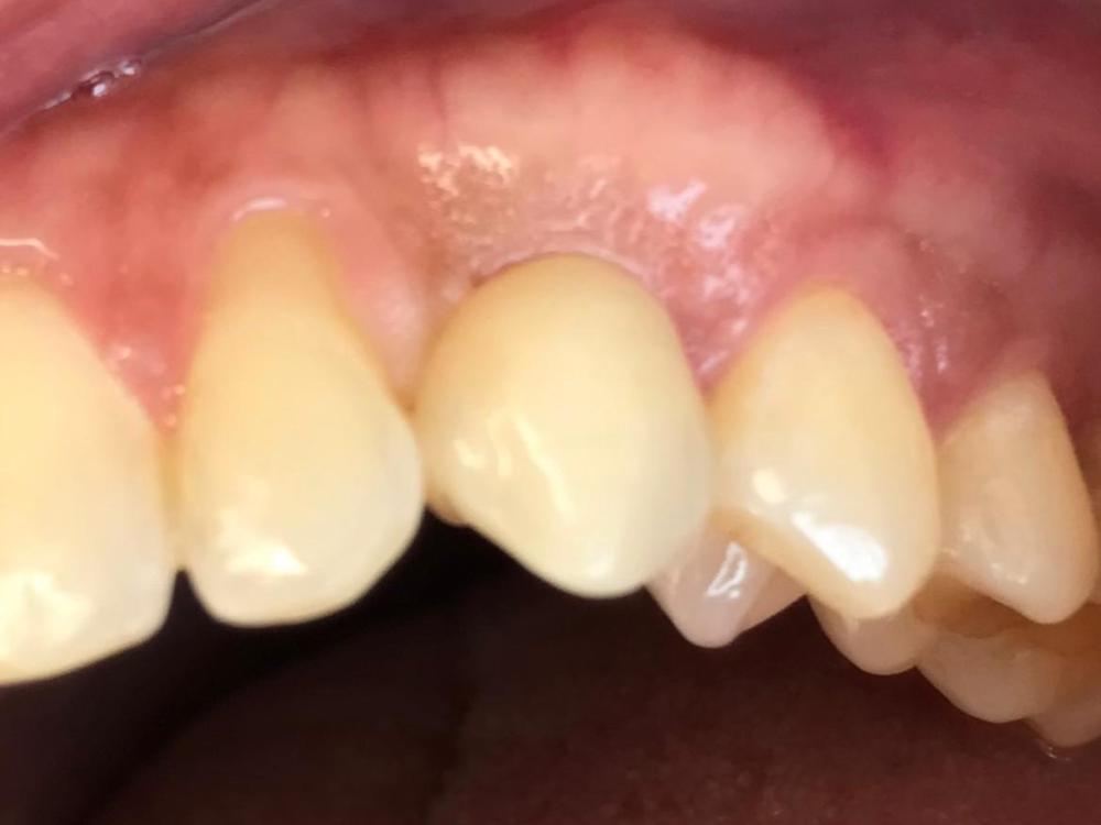
Lo Studio Dentistico Zambon è orgoglioso di presentare una delle tecniche più avanzate e innovative nel campo dell'implantologia dentale: gli Impianti Dentali Angolati con foro paratale, sviluppati rigorosamente attraverso Chirurgia Guidata.

Cosa Sono gli Impianti Dentali Angolati?


Gli Impianti Dentali Angolati rappresentano una soluzione all'avanguardia per i pazienti che necessitano di sostituzioni dentali in aree complesse della bocca. Questi impianti, grazie alla loro angolazione specifica, permettono di sfruttare al meglio l'osso disponibile, garantendo una maggiore stabilità e durata nel tempo.

La Chirurgia Guidata: Precisione e Sicurezza.


La tecnica di Chirurgia Guidata utilizzata dal nostro studio consente di pianificare l'intervento con una precisione millimetrica. Attraverso l'uso di software avanzati e immagini tridimensionali, è possibile simulare l'intero processo chirurgico prima di eseguirlo, riducendo al minimo i rischi e ottimizzando i risultati. Questo approccio innovativo assicura una perfetta integrazione dell'impianto con l'anatomia del paziente, migliorando sia l'estetica che la funzionalità del nuovo dente.

Precursore dell'Innovazione.


Il Dottor Gabriele Zambon, fondatore dello Studio Dentistico Zambon, è stato un precursore nell'adozione degli impianti dentali angolati con foro paratale. La sua dedizione alla ricerca e all'aggiornamento continuo gli ha permesso di perfezionare questa tecnica, offrendo ai suoi pazienti soluzioni all'avanguardia che combinano estetica, funzionalità e durata.

Perché Scegliere gli Impianti Dentali Angolati?


Massima Stabilità: Gli impianti angolati permettono di sfruttare al meglio l'osso disponibile, garantendo una base solida e stabile per il dente sostitutivo.
Riduzione dei Tempi di Recupero: Grazie alla precisione della chirurgia guidata, i tempi di recupero sono ridotti e i pazienti possono tornare rapidamente alle loro attività quotidiane.


Estetica Naturale: Gli impianti sono progettati per integrarsi perfettamente con il sorriso del paziente, offrendo un aspetto naturale e armonioso.
Sicurezza e Comfort: La pianificazione dettagliata e l'uso di tecnologie avanzate riducono i rischi associati all'intervento, assicurando un'esperienza più confortevole per il paziente.


Contattaci!


Se desideri saperne di più sugli impianti dentali angolati e su come possono migliorare la tua qualità della vita, non esitare a contattarci. Il nostro team sarà lieto di rispondere a tutte le tue domande e di fornirti una consulenza personalizzata.

Condividi il post:

Gli orari dello studio

Lunedì

08:30 - 13:00
14:00 - 18:30

Martedì

08:30 - 15:30

Mercoledì

08:30 - 13:00
14:00 - 18:30

Giovedì

08:30 - 15:30

Venerdì

08:30 - 14:00

Prenota subito

Per contattare lo studio

Informativa sulla Privacy
Ai sensi dell’art. 13 del Regolamento EU 679/2016
Data ultimo aggiornamento 30.01.2019

Con il presente documento la Tecnocostruzioni srl, titolare del sito tecnocostruzioni-group.com (d’ora in poi, “Sito”), informa l’interessato (Utente) che i suoi dati personali, relativi alla navigazione all’interno del Sito medesimo, con accesso diretto dalla homepage oppure attraverso sottopagine, saranno trattati con massima cura e con strumenti atti a garantirne idonea sicurezza. Si specifica che la presente informativa – conforme a quanto stabilito dall’articolo 13 del Regolamento EU 679/2016 – non è da considerarsi valida per altri siti web eventualmente consultabili tramite i link ivi presenti.

1. TIPOLOGIA DI DATI TRATTATI

1.1. Dati derivanti dalla navigazione dell’Utente

Questi dati, attraverso il normale funzionamento del Sito, sono acquisiti e trasmessi implicitamente nell’uso di protocolli di comunicazione di Internet. Si tratta di informazioni che non sono raccolte per essere associate a interessati identificati, ma, per loro stessa natura, attraverso l’elaborazione con dati detenuti da terzi, potrebbero permettere di identificare gli Utenti.
In questa categoria di dati rientrano gli indirizzi IP o i nomi a dominio dei computer utilizzati dagli Utenti che si connettono al Sito, gli indirizzi in notazione URI (Uniform Resource Identifier) delle risorse richieste, l’orario della richiesta, il metodo utilizzato nel sottoporre la richiesta al server, la dimensione del file ottenuto in risposta, il codice numerico indicante lo stato della risposta data dal server (buon fine, errore, ecc.) ed altri parametri relativi al sistema operativo e all’ambiente informatico dell’Utente.
Tali attività di elaborazione e associazione dei dati non sono mai svolte dal titolare del trattamento, sono utilizzati al solo fine di controllare il corretto funzionamento e vengono cancellati in automatico dopo l’elaborazione.

1.2. Dati conferiti volontariamente dall’Utente

Questi dati sono forniti dall’Utente, nel corso della volontaria interazione con il Sito, attraverso la compilazione del form per i contatti o a mezzo e-mail, al fine di richiedere informazioni o per qualsivoglia scopo personale. Per tutti i dati conferiti volontariamente è rilasciata, da parte dell’Utente stesso, espressa autorizzazione al trattamento.

2. COOKIES

Per informazioni sull’uso dei cookies all’interno del Sito, visitare l’apposita Informativa sui Cookies

3. WIDGET DI SOCIAL NETWORK

I “social plugin” sono pulsanti presenti sul Sito che raffigurano le icone di social network (come Facebook, Twitter, Instagram, ecc.) e che permettono all’Utente di interagire direttamente con le piattaforme sociali, ad esempio condividendo contenuti.

4. FINALITÀ DEL TRATTAMENTO DEI DATI

Il trattamento dei dati dell’Utente viene effettuato per le seguenti finalità:
– raccolta di dati immessi e inviati volontariamente dall’Utente attraverso la – compilazione del “form contatti” predisposto all’interno del Sito, alla pagina Contatti;
– raccolta di dati inviati volontariamente dall’Utente per mezzo di e-mail agli indirizzi indicati nel Sito;
– riscontro a richieste di informazioni;

5. TITOLARE DEL TRATTAMENTO DEI DATI

Il titolare del trattamento è la Tecnocostruzioni srl con sede legale in Via Pelosa, 78 35030 Selvazzano Dentro (PD). Il titolare è contattabile attraverso i seguenti recapiti, reperibili altresì alla pagina Contatti:
– Telefono: +39 049 8979949;
– E-mail: info@tecnocostruzioni-group.com.

6. MODALITÀ DEL TRATTAMENTO E CONSERVAZIONE DEI DATI

Il trattamento dei dati sarà svolto in forma elettronica e automatizzata, per il tempo necessario a conseguire gli scopi per cui sono stati raccolti.
I dati personali trattati attraverso il Sito non saranno oggetto di diffusione e/o comunicati a terzi, e verranno conservati presso la sede del fornitore del servizio di housing del server, con modalità, tempi e strumenti volti a garantire la massima sicurezza e riservatezza.

7. NATURA DEL CONFERIMENTO E RIFIUTO A CONFERIRE I DATI

Il conferimento dei dati personali da parte dell’Utente, per le finalità sopra menzionate, è libero e facoltativo. Tuttavia, il mancato conferimento dei dati stessi comporterà l’impossibilità di fornire riscontri ai messaggi inoltrati o che l’interessato intenda inoltrare attraverso il form di contatto o a mezzo e-mail.

8. DIRITTI DELL’INTERESSATO

Il Regolamento GDPR garantisce agli interessati una serie di diritti sui propri dati personali trattati dal Titolare del trattamento. In particolare, informiamo che la Legge agli Utenti riconosce i diritti di cui agli artt. 15, 16, 17, 18, 20, 21, 77 e 82 del GDPR (es. di ottenere la conferma dell’esistenza o meno dei propri dati, la cancellazione dei dati trattati in violazione di legge, la rettifica, l’opposizione per motivi legittimi al loro utilizzo, ecc.).

Il Titolare si impegna a fornire riscontro entro 30 giorni e, in caso di impossibilità a rispettare tali tempi, a motivare l’eventuale proroga dei termini previsti. Il riscontro avverrà a titolo gratuito salvo casi di infondatezza o richieste eccessive per le quali potrà essere addebitato un contributo spese non superiore ai costi effettivamente sopportati per la ricerca effettuata.

Per qualsiasi richiesta di informazioni e/o chiarimenti, domande o reclami sul trattamento dei dati personali e al fine di valere i suoi diritti, l’Utente interessato deve rivolgersi per iscritto all’indirizzo e-mail info@tecnocostruzioni-group.com, oppure a mezzo raccomandata a/r indirizzata a: Tecnocostruzioni srl con sede legale in Via Pelosa, 78 35030 Selvazzano Dentro (PD).

9. MODIFICHE ALL’INFORMATIVA SULLA PRIVACY

La Tecnocostruzioni srl si riserva il diritto di modificare, aggiornare, aggiungere o rimuovere parti della presente Informativa sulla Privacy a propria discrezione e in qualsiasi momento.
L’interessato è tenuto a verificare periodicamente le eventuali modifiche pubblicate sulla presente pagina web.

CAPTCHA
8 + 1 =
Risolvere questo semplice problema matematico e inserire il risultato. Ad esempio per 1+3, inserire 4.
Questa domanda è un test per verificare che tu sia un visitatore umano e per impedire inserimenti di spam automatici.